tel +41 (0) 91 6952140

Implantologia

L’implantologia è quell’importante parte dell’odontoiatria moderna che permette di reintegrare radici di denti naturali persi tramite radici artificiali.

L’implantologia amplia il ventaglio di soluzioni offerte dalla protesica: propone terapie supplementari e anche alternative per ancorare, stabilizzare e migliorare la funzione di protesi rimovibili o per reintegrare con elementi fissi uno o più denti mancanti senza utilizzare un ponte né una protesi rimovibile.

Evoluzione continua

Pratico l’implantologia da più di vent’anni. Le più recenti innovazioni in implantologia sono legate da una parte alla grande affidabilità biologica dei materiali odierni e all’adattabilità che deriva dalla versatilità e dalla sicurezza offerte dalla sofisticata meccanica raggiunta oggi da queste radici artificiali; dall'altra parte sono altrettanto legate alle svariate soluzioni terapeutiche proposte dalle metodologie chirurgiche.

Le diverse “scuole” implantologiche, intraprendendo percorsi diversi nella ricerca, a fronte di medesimi specifici casi hanno sviluppato sostanziali ed efficaci varianti di trattamento. Con l’utilizzo di materiali e metodi molto diversi permettono approcci terapeutici diametralmente opposti per quanto riguarda invasività, rischio chirurgico, semplicità terapeutica e aspetto economico.

La visione d’insieme dell’implantologia moderna è quindi fondamentale nella valutazione dei singoli casi per offrire una soluzione consona e affidabile a ogni singolo paziente.

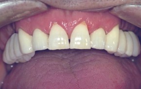
Impianti 1

Agenesia congenita degli incisivi laterali, le due radici naturali erano inesistenti dalla nascita:

- raggiunta la maggiore età, con un apparecchio ortodontico fisso sono stati dapprima leggermente spostati i denti naturali per migliorare la spaziatura a disposizione per i futuri impianti,

- dopo tre mesi di trattamento ortodontico sono stati inseriti due impianti endoossei in anestesia locale,

- dopo altri tre mesi, a consolidamento avvenuto degli impianti (osteointegrazione), sono state posate due corone in ceramica su telaio metallico (elementi fissi),

- il sorriso e la funzione sono stati ripristinati in un modo confortevole.

Impianti 2

Impianti e corone ceramo-metalliche nella zona dei molari inferiori, andati persi:

- per recuperare una adeguata masticazione in modo fisso sono stati inseriti due impianti endoossei,

- dopo tre mesi, sugli impianti convalidati dal test di stabilità, sono state posate due corone in ceramica su telaio metallico,

- dodici anni dopo la fine del trattamento: la radiografia di controllo mostra ancora la sempre perfetta osteointegrazione e funzionalità della cura,

- si può notare che rispetto alla radiografia di partenza, l'osso che nella zona del secondo molare presentava un difetto, stimolato dalla funzione masticatoria, sia ricresciuto e sia ancora totalmente integro.

Non vi è infiammazione nè patologia alcuna, la presenza degli impianti endoossei è, a detta del paziente, assolutamente impercepibile e comparabile alle radici naturali.

Impianti 3

Impianto unitario a livello del secondo premolare superiore destro con tecnica di mini-rialzo del seno mascellare:

- inserimento dell'impianto endoosseo sei settimane dopo la perdita in seguito ad ascesso della radice naturale, l'intervento è stato realizzato in modalità atraumatica mini-invasiva in anestesia locale, senza scollamento della gengiva, quindi senza provocare alcun dolore post-operatorio, 

- dopo 3 mesi verifica dell'osteointegrazione dell'impianto, impronta e realizzazione odontotecnica di una corona unitaria in ceramica su telaio metallico.

 La radiografia di controllo mostra che l'impianto, posato con una tecnica di dilatazione ossea e rialzo del seno mascellare (Soft Dilating System, pat. Arsline sa Switzerland), ha sfruttato l'intera profondità occupata dalla radice del precedente dente naturale (misurata al momento della sua estrazione). Le sue dimensioni sono adeguate per un solido utilizzo protesico.

 L'osso non presenta alcuna patologia, la corona unitaria è correttamente adattata all'impianto.

 L'ultima fotografia corrisponde alla situazione finale, il dente mancante è stato reintegrato in modo semplice ed autonomo, senza complicati trapianti ossei e senza dover realizzare un ponte, quindi senza dover utilizzare gli altri denti.

Impianti 4

Impianto unitario a livello del primo molare inferiore sinistro con tecnica operatoria e guarigione transgengivali (one-step surgery), realizzato 5 settimane dopo l'estrazione di un molare.

Inserimento endoosseo dell'impianto in anestesia locale con tecnica trans-gengivale (senza scollamento della gengiva).

- radiografia intra-operatoria di controllo dell'esatta centratura nel setto inter-radicolare e controllo della profondità di foratura tramite l'utilizzo di una fresa pilota di puntamento (Soft Dilating System, pat. Arsline sa Switzerland),

- radiografia post-operatoria all'inserimento di un impianto a collo largo per dente molare con relativa cappa di guarigione gengivale; si evidenzia un filo di acciaio incollato ai denti, utile evitare possibili spostamenti dei denti adiacenti all'impianto durante il periodo di attesa (maturazione dell'osteontegrazione). 

- fotografia tre mesi dopo la svitamento della cappa di guarigione ed avvitamento della testa protesica (moncone) per la presa di impronta,

- fotografia la settimana successiva, dopo la posa sulla testa protesica di una corona in ceramica su telaio metallico; l'utilizzo di un impianto a collo largo ha permesso la costruzione di un molare di dimensioni analoghe al dente naturale, quindi di dimensioni di massimo confort per la lingua e la guancia ed una forma che permette un'igiene adeguata,

- radiografia di controllo sei mesi dopo la fine della cura, l'impianto è osteointegrato, l'osso attorno all'impianto si è rigenerato autonomamente e non presenta quindi più i difetti consecutivi al vuoto lasciato dalla precedente estrazione del molare, la corona è adeguatamente adattata all'impianto sottostante, i denti adiacenti non si sono spostati, tutti i punti di contatto tra i denti sono rispettati e pertanto durante la masticazione essi eviteranno il ristagno di alimenti interdentali.

Il molare è stato reintegrato in modo autonomo estetico e funzionale, senza dover realizzare un ponte e quindi senza utilizzare i denti adiacenti.

La tecnica trans-gengivale ha evitato ogni dolore ed infiammazione nei giorni successivi all'inserimento (compresse antidolorifiche a titolo prudenziale solo il giorno stesso al termine dell'anestesia locale).

La tecnica one-step ha permesso una procedura in un unico intervento che ha reso necessaria un'unica prima manipolazione in anestesia locale, le successive essendo totalmente indolori.

Impianti 5

Paziente insoddisfatto di una precedente protesi parziale rimovibile all'arcata superiore.

Caso risolto con la posa di impianti multipli per rimpiazzare in modo fisso i premolari ed i molari superiori mancanti tramite corone in ceramica su telaio in lega aurea, soluzione avvitata ed a discrezione smontabile per una eventuale igiene approfondita o manutenzione.